Ciclo menstrual é o período de aproximadamente 28 ou 30 dias durante os quais a mulher experiencia mudanças no seu corpo devido as hormonas que, todos os meses, preparam a parede interna do útero para uma possível gravidez.
Dentro do ciclo menstrual existem dois processos importantes e relacionados entre si:
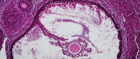
- Ovulação. É o processo através do qual um óvulo maduro liberta-se do ovário. Habitualmente, em cada ciclo há a maduração de um único óvulo dentro do denominado folículo de Graaf. Este óvulo sai do ovário e entre nas trompas de Falópio. Simultaneamente o útero prepara-se para a recepção e implantação do óvulo fertilizado através do engrossamento do endométrio.
- Menstruação. No caso dos espermatozóides não alcançarem e fertilizarem o óvulo, o endométrio sofre uma descamação dando origem a menstruação.
Hormonas responsáveis
Todo este processo é hormonalmente controlado pela hipófise. Esta glândula do cérebro é estimulada pelos denominados “factores de libertação de gonadotrofinas” e é responsável pela libertação das hormonas responsáveis pelo funcionamento do ovário, isto é, a hormona estimulante dos folículos (FSH) e a hormona lutinizante (LH).
Tendo os níveis hormonais como base podemos dividir o ciclo menstrual em várias fases:
Fase folicular
As mulheres na puberdade têm aproximadamente 3000.000 estruturas microscópicas no ovário conhecidas como “folículos primordiais”.
Durante a fase pré-ovulação do ciclo o aumento de FSH faz com que vários desses folículos comecem a crescer e migrem até a superfície do ovário. O crescimento dos folículos produz o aumento de uma outra hormona chamada estradiol cuja função é bloquear a produção de FSH pela hipófise para que apenas um dos folículos complete o seu desenvolvimento total. O crescimento dos restantes folículos é bloqueado. O folículo dominante é chamado de folículo de Graaf e produz outras hormonas que actuam sobre o útero, fazendo com que o endométrio prolifere e facilitando a posterior implantação do embrião.
Fase da ovulação
Até metade do ciclo (14º-15º dia) a hipófise produz uma subida dos níveis de LH que provoca a ruptura do folículo de Graaf, permitindo que o óvulo maduro saia do ovário em direcção as trompas. Este processo é denominado de ovulação.
No caso de ter havido uma relação sexual, este óvulo libertado pode ser fertilizado pelos espermatozóides presentes nas trompas de Falópio.
Fase luteína ou fase lútea
Nesta fase pós-ovulação o folículo roto transforma-se num corpo amarelo denominado “corpo lúteo”. Este corpo é o responsável pela produção de estrogénio e progesterona, hormonas que vão actuar sobre o endométrio.
A progesterona modifica a mucosa cervical no colo do útero tornando-o impenetrável para os espermatozóides. Actua, também, sobre as paredes do útero que se tornam esponjosas e grossas devido ao maior fluxo sanguíneo e que ficam, assim, preparadas para receber o óvulo fertilizado.
O corpo lúteo produz estas duas hormonas até a oitava semana de gestação e , a partir desse momento, é a placenta que as produz.
Óvulo não fertilizado
No caso do óvulo libertado não ser fertilizado pelos espermatozóides, o corpo lúteo desaparece, logo, a produção de estrogénio e progesterona diminui gradualmente. Isto faz com que o endométrio escame e seja eliminado pela vagina na forma de um sangramento – menstruação.





















2 Comentários
Julho 16, 2016 pm31 23:27
Awesome you should think of soiemhtng like that
Novembro 14, 2016 am30 7:54
You just seriously helped me out with my WIP! My current H is causing me serious headaches but this made things a whole lot clearer. I really get what you mean about the whole “BIIIGG TERRIBUBBLE SECRET” black moment. It’s the downfall for so many great books out there. I love picking up a book to find the most jaw dropping secrets/ conflicts are fully revealed in the first chapter, then i’m like…. what the hell’s gonna happen next!Also…“OHMAHGAH you SLEPT WITH MY SISTER? You MANHOOR!!”This made me snort my diet coke ever so slightly